辉腾作为大众汽车旗下的豪华旗舰轿车,其价格因配置、年份和地区等因素而异。本文将全面解析辉腾的价格区间...
38
2025-09-11
本文将全面解析暗黑破坏神3的价格体系,包括游戏本体、资料包及不同版本的价格差异,帮助玩家了解当前暗黑...
40
2025-09-11
近年来,多动症(ADHD)在儿童中的发病率逐渐上升,这一现象引起了社会的广泛关注,因多动症学生的出现...
39
2025-09-11
对于许多创业者了解爱乐游加盟费用是评估这个儿童游乐品牌投资潜力的第一步。本文将全面解析爱乐游加盟费用...
40
2025-09-11
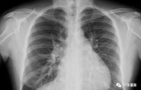
胸片检查是常见的医学影像学检查项目,其费用因地区、医院级别、检查方式等因素而异。本文将全面解析胸片的...
40
2025-09-11
白癜风治疗费用因多种因素而异,包括病情严重程度、治疗方法选择、治疗周期以及医疗机构等。本文将详细分析...
38
2025-09-11
随着国际形势的复杂多变,中美两国的防务关系显得尤为重要,中美两国防长通过视频通话的方式进行了深入的交...
38
2025-09-11
随着互联网的飞速发展,电商和本地生活服务市场逐渐成为新的经济增长点,阿里巴巴和美团作为两大巨头,在多...
39
2025-09-11
茶卡盐湖,位于中国青海省,以其独特的自然风光和丰富的盐资源而闻名,近年来,一种现象引起了人们的关注—...
40
2025-09-11
那英社交动态神秘隐身,网络世界掀起猜测风波在数字化信息时代,社交平台已成为公众人物与粉丝互动的重要桥...
39
2025-09-11